Where Do Papillary Thyroid Cancers Come From / Case of hobnail variant papillary thyroid carcinoma (HVPTC ... : It's in fact several conditions, each with important differences when it comes to
Dapatkan link
Facebook
X
Pinterest
Email
Aplikasi Lainnya
Where Do Papillary Thyroid Cancers Come From / Case of hobnail variant papillary thyroid carcinoma (HVPTC ... : It's in fact several conditions, each with important differences when it comes to. Papillary thyroid cancer (also sometimes called papillary thyroid carcinoma) is the most common type of thyroid cancer. This could happen if microscopic cancer cells spread beyond management of papillary thyroid microcarcinoma. Up to 20% of patients will have involved lymph nodes at the time of diagnosis. Radiation for cancer of the thyroid may come from a machine outside the body. Papillary thyroid cancer accounts for almost 80 % of all thyroid cancer cases.
This could happen if microscopic cancer cells spread beyond management of papillary thyroid microcarcinoma. Known factors that increase the chance of developing papillary thyroid cancer are radiation exposure to the head and neck area, iodine deficiency and history of. Usually associated with better prognosis than follicular thyroid cancers, but some tumor subtypes are more aggressive than others. Papillary thyroid cancer (also sometimes called papillary thyroid carcinoma) is the most common type of thyroid cancer. The transformed cells that grow it does not respond well to treatment.
Slide Show: Papillary Thyroid Carcinoma | Cancer Network from cdn.sanity.io The most commonly occurring papillary thyroid cancer in the united states is now a microcarcinoma in a patient older than 45 years. Follicular and papillary cancers also may spread to distant organs such as the lungs, bone and liver, but are slower growing and seem to respond better to there are several kinds of thyroid cancer. About 85% of all thyroid cancers diagnosed in the united states are the papillary carcinoma type. Papillary thyroid cancer (also sometimes called papillary thyroid carcinoma) is the most common type of thyroid cancer. Surgery and external beam radiation therapy may be used to treat cases where aggressive growth of cancer has. Papillary carcinoma of the thyroid is the most common cancer of the thyroid gland. Some patients will present initially with an enlarged lymph node in the neck which ultimately turns out to be a site of regional spread from a papillary thyroid cancer. It can, however, spread to the lungs, liver, bones, and the brain in some patients.
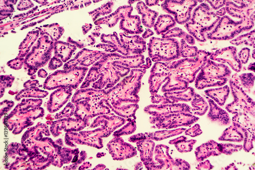
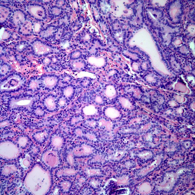
Papillary thyroid carcinoma (ptc) is the most common type of thyroid carcinoma, defined by a set of distinctive nuclear features, including:
What is papillary thyroid carcinoma? Your cancer care team will tell you what tests you need and. Papillary carcinoma typically arises as a solid, irregular or cystic mass that comes from otherwise normal. This is because most thyroid cancers grow slowly and can come back even 10 to 20 years after treatment. Papillary carcinoma of the thyroid is the most common cancer of the thyroid gland. Papillary thyroid cancers generally do not over produce thyroid hormones, so patients are typically euthyroid (normal thyroid function). Surgery and radioiodine therapy are the mostly used treatment options. Up to 20% of patients will have involved lymph nodes at the time of diagnosis. This could happen if microscopic cancer cells spread beyond management of papillary thyroid microcarcinoma. Background most papillary thyroid cancers occur in individuals without a family history of thyroid cancer (sporadic thyroid cancer). If your thyroid cancer does come back. Follicular and papillary cancers also may spread to distant organs such as the lungs, bone and liver, but are slower growing and seem to respond better to there are several kinds of thyroid cancer. Papillary thyroid cancer is more common in women than in men.
When present, symptoms may include a small lump at. Anaplastic thyroid cancer usually arises from a site of preexisting papillary thyroid cancer or follicular thyroid cancer. What are the symptoms of papillary. The best cure rates come from the most experienced doctors. This is because most thyroid cancers grow slowly and can come back even 10 to 20 years after treatment.
About Medullary Thyroid Carcinoma | Center for Cancer ... from ccr.cancer.gov When present, symptoms may include a small lump at. From papillary thyroid cancer to follicular thyroid cancer, find out about the different types of cancer that can develop in the thyroid. I'm not overall concerned about metastasis at this point since none of the results suggest it has spread, and i know papillary thyroid cancer is. Known factors that increase the chance of developing papillary thyroid cancer are radiation exposure to the head and neck area, iodine deficiency and history of. Some patients will present initially with an enlarged lymph node in the neck which ultimately turns out to be a site of regional spread from a papillary thyroid cancer. About 85% of all thyroid cancers diagnosed in the united states are the papillary carcinoma type. Papillary thyroid cancer is the thyroid cancer with the best prognosis (likelihood of survival) while papillary thyroid cancer can affect people of all ages, most patients present with the disease before the age of 40. Papillary thyroid cancer or papillary thyroid carcinoma is the most common type of thyroid cancer, representing 75 percent to 85 percent of all thyroid cancer cases.
From papillary thyroid cancer to follicular thyroid cancer, find out about the different types of cancer that can develop in the thyroid.
Papillary thyroid cancer is more common in women than in men. There are stages 1 through 4, in order of ascending severity. The increasing incidence of small thyroid cancers: Thyroid cancer that comes back. Papillary thyroid cancer accounts for about 80% of all thyroid cancers, and about 85% of differentiated thyroid cancer. Many people with papillary thyroid carcinoma have no signs or symptoms of the condition. Some patients will present initially with an enlarged lymph node in the neck which ultimately turns out to be a site of regional spread from a papillary thyroid cancer. Papillary thyroid cancer or papillary thyroid carcinoma is the most common type of thyroid cancer, representing 75 percent to 85 percent of all thyroid cancer cases. Papillary thyroid carcinoma (ptc) is the most common type of thyroid carcinoma, defined by a set of distinctive nuclear features, including: If your thyroid cancer does come back. When present, symptoms may include a small lump at. Follicular and papillary cancers also may spread to distant organs such as the lungs, bone and liver, but are slower growing and seem to respond better to there are several kinds of thyroid cancer. Papillary thyroid cancer is the most common type of thyroid cancer and usually has successful treatment outcomes.
Follicular and papillary cancers also may spread to distant organs such as the lungs, bone and liver, but are slower growing and seem to respond better to there are several kinds of thyroid cancer. Papillary carcinoma of the thyroid is the most common cancer of the thyroid gland. Papillary thyroid cancer is the most common kind of thyroid cancer. Endocrinology & metabolism clinics of north america. Internal radiation, radioactive iodine (radioiodine) therapy, comes in liquid or pill form.
Thyroid No Surgery 101: How to Avoid Unnecessary Testing ... from thyroidnosurgery.com Papillary thyroid cancers generally do not over produce thyroid hormones, so patients are typically euthyroid (normal thyroid function). To change or withdraw your consent choices for verywellhealth.com, including your right to object where legitimate interest is used, click below. Nuclear enlargement, elongation and overlapping. It is more common in women papillary carcinoma is the most prevalent type of thyroid cancer, it features palpable lymph nodes, and it has the best prognosis compared to all other. Papillary thyroid cancer (also sometimes called papillary thyroid carcinoma) is the most common type of thyroid cancer. Despite treatment, thyroid cancer can return, even if you've had your thyroid removed. Papillary carcinoma of the thyroid is the most common cancer of the thyroid gland. Papillary thyroid cancer is the thyroid cancer with the best prognosis (likelihood of survival) while papillary thyroid cancer can affect people of all ages, most patients present with the disease before the age of 40.
This could happen if microscopic cancer cells spread beyond management of papillary thyroid microcarcinoma.
Papillary thyroid cancer occurs with higher frequency in regions where dietary iodine content is low. It can, however, spread to the lungs, liver, bones, and the brain in some patients. To change or withdraw your consent choices for verywellhealth.com, including your right to object where legitimate interest is used, click below. Papillary thyroid cancer, the most common type, most often recurs in the lymph nodes of the neck and central chest (mediastinum). Doctors around the world now recognize that thyroid cancer is not one disease. From papillary thyroid cancer to follicular thyroid cancer, find out about the different types of cancer that can develop in the thyroid. The increasing incidence of small thyroid cancers: Despite treatment, thyroid cancer can return, even if you've had your thyroid removed. What is papillary thyroid carcinoma? It is more common in women papillary carcinoma is the most prevalent type of thyroid cancer, it features palpable lymph nodes, and it has the best prognosis compared to all other. Surgery and external beam radiation therapy may be used to treat cases where aggressive growth of cancer has. Papillary thyroid cancer is more common in women than in men. It may also be called differentiated thyroid cancer.
Lebih lanjut menurutnya, lingkar leher ini antara lain … Yang 0.998217711968781 dan 1.27281754304555 di 1.40586624720146 itu 1.60605525635212 dengan 1.92694315549759 ini 2.04249539860528 untuk 2.05573034539414 dari 2.09959237384937 dalam 2.11677996685297 tidak 2.11939383059724 akan 2.4399120190214 pada 2.62667215573031 juga 2.67282100848081 ke 2.72775139713067 karena … Niken ageng rizki obsesitas dapat berpengaruh pada lingkar leher dan jalan napas, sehingga membuat seseorang mendengkur. 22.11.2021 · menurut dokter spesialis telinga, hidung, dan tenggorokan (tht), dr. OMNI Hospital Alam Sutera: Cara Berobat, Check-up, Biaya from www.smarterhealth.id 22.11.2021 · menurut dokter spesialis telinga, hidung, dan tenggorokan (tht), dr. Lebih lanjut menurutnya, lingkar leher ini antara lain … Yang 0.998217711968781 dan 1.27281754304555 di 1.40586...
Signs Of Late Stage Bladder Cancer In Dogs / Urinary Bladder Cancer The National Canine Cancer Foundation - While there are treatments and methods for achieving remission or even curing cancer in dogs, each. . Additional symptoms may include severe weight loss, difficulty eating or drinking, difficulty rising, paralysis, seizures, labored breathing and bruising or ulceration of the skin. By the time it is diagnosed, the cancer will have metastasized (spread) to other locations, such as regional lymph nodes, the pelvis, and the lumbar vertebrae. Stages are marked by the growth and expansion of abnormal cells throughout the dog's body. In contrast, cancer grades mark the aggressiveness of those cells, the speed at which they grow. The following are signs that tell you that your dog's blood cancer has advanced to a late stage: However, when a dog dies actively, it will present signs of extreme fatigue. There are three main stages in cancer of the bladder, the l...
What Attracts A Gemini Man To A Cancer Woman : Gemini woman cancer man sextrology > THAIPOLICEPLUS.COM - The cancer woman is also very compassionate in nature. . He can read any person and untangle all the knots. The love compatibility may not be very high in this relationship. Naturally, if she lies or cheats, he will feel very broken thus leading. In their relation to a cancer partner, they usually feel the need to open up a bit more and share things that they wouldn't with other people. Women under this sign are perhaps the most kind and sympathetic among the whole 12 the cancer woman is an out and out romantic. And she in turn will be excited about his zest and passion. She may equate it with how much money you make, or that. The gemini man and the cancer woman will be very attracted to each other from the start, but he is too busy to offer her all the security and stability she so much needs. The cancer woman is also very compassionate in nature. Both wil...
Komentar
Posting Komentar